#714 2/18/2026 1月入院退院また2月末に入院の廃人ライフの読書覚え書き

kayokofujimori のアバター投稿者:

本日は2026年2月18日水曜日です。

ずっと本Blogの更新をさぼっていました。

忙しかったです。

『情況』冬号の締め切りは1月7日だったんだけど、20年近く前にちょっと調べたジョン・ロールズとかロバート・ノージックのことを改めて調べ直してたら、締め切りを過ぎてしまった。

やっと原稿を送信できたのが1月13日火曜日の朝6時半。

で、その日の午後2時に入院しました。

睡眠不足でフラフラ状態で入院。

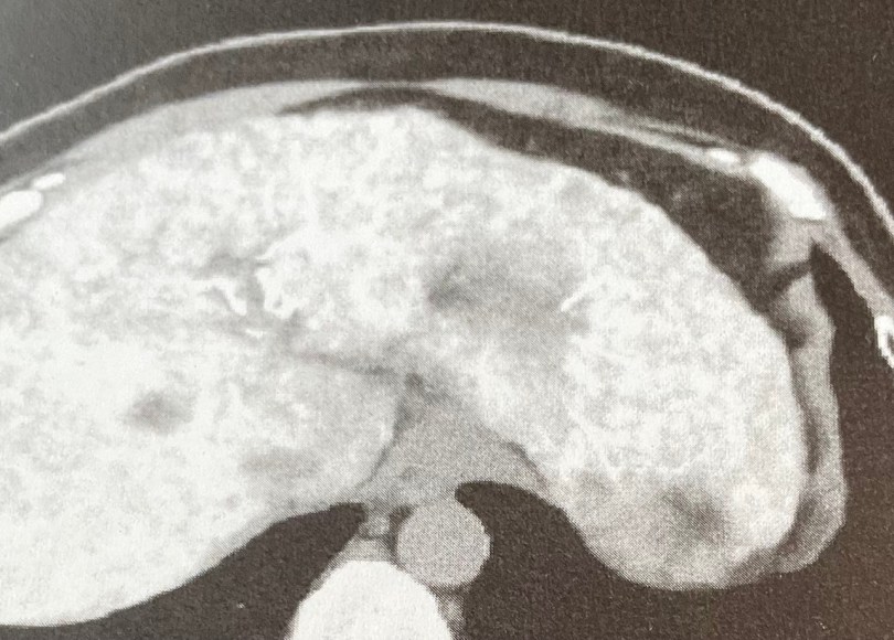
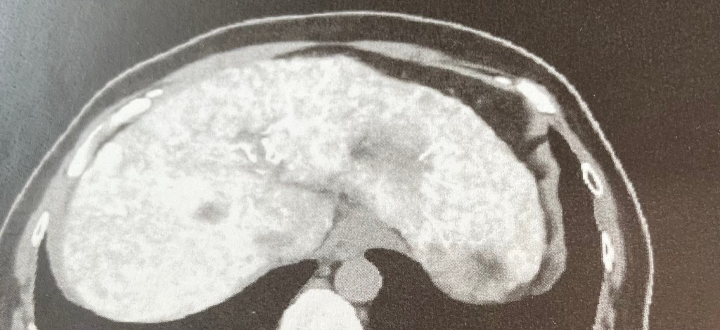
翌日14日の朝9時から放射線科の手術を受けました。

今回の手術は、カテーテルを鼠蹊部から入れて、肝臓内に抗がん剤を満遍なく散布して、腫瘍を消すというもの。

えええ?そーいうことしていいの?

とも思うけど、大病院にも「売り上げ」というものがあるから、やれる手術があるならやり、出せる薬があるなら出して、ドクターは患者もいっぱい担当しないとね。

今回の手術も、まあ尿管入れたりとか面倒くさいことは面倒くさいのだけれども、去年の10月に受けた手術よりは楽だった。

手術も4回目ともなると、2時間の手術の間は退屈だし、CTなどの機械音がうるさいんで、ついついハミングしてしまったり。

ハミングしたときに自然に出てきたメロディは、SMAPの「夜空のムコウ」でした。

今回の術後は、高熱も出なかったし、病床にへばってるってこともなかった。

肝臓内全域に抗がん剤散布なんて〜〜

と思うのも、昔の抗がん剤のイメージの悪さのせいでさ。

抗がん剤も進歩してるし、副作用を抑える薬も開発されているし、変な代替治療を受けるよりは、変な高価なサプリメントを飲むよりは、標準治療を受けるしかない。

あとはもう自分の生命力を信じるしかない。

信じるのは無料でできる。

手術を受けた1月14日水曜日の夕方に、主治医さんが病室にいらして、この写真を私に見せて、「ねー綺麗に染め上がってるでしょー」と自慢げにおっしゃいました。

……………染め上がってるってさあ…‥

藍染めか。いや抗がん剤染めだぞ。

ともかく今回は火曜日に入院で土曜日に退院できました。

さて、実はまた入院です。

2月の終わり頃に入院します。

今度は、部分麻酔して肝臓に針を刺して、残っている大きい腫瘍にエタノール注入です。

経皮的エタノール注入療法 (PEIT)と呼ぶ。

PEITは、肝細胞癌に対する局所治療法の一つです。 AIによると、こうです。

  • 治療方法: 超音波検査で腫瘍の位置を確認しながら、腹部の皮膚の上から細い針を刺入し、高濃度の無水エタノールを腫瘍に直接注入します。エタノールは腫瘍細胞を壊死させる作用があります。
  • 適応症: 主に腫瘍の大きさが3cm以下、個数が2~3個以下の小さな肝細胞癌が対象となります。肝機能が低下している患者にも適用できる場合があります。
  • 効果: 適応を適切に選択すれば、手術療法と同等の治療効果が得られることも報告されています。ただし、ラジオ波焼灼療法 (RFA)と比較すると、局所再発率に関して議論があり、近年ではRFAがより一般的になっています。
  • 副作用: 一般的な副作用として、治療後の腹痛や発熱、吐き気などがありますが、通常は数日で改善します。稀に、ショックや心筋梗塞といった重篤な副作用の報告もあります。

痛いらしいよ。

今までのような放射線科のカテーテル手術ができないそうです。たまたま残っている腫瘍の周りに血管が集中しているそうで。

もう勝手にしやがれ、です。

今は、体調がいいのか悪いのか、わかりません。

常にだるい。常に眠い。ぼっとする。快適で元気という状態がない。

2024年に切除不能多発性肝細胞癌と診断されて治療が始まってから、ずっとこういう状態が自然なので、何も気にしなくなってしまって。

慣れちゃうんですね。これが通常運転って感じで。

まあ、これもいよいよ末期で死期が近いとなると、痛みとか呼吸困難とかいろいろ苦しい症状が出てきて、気にならないとか言っていられなくなるのかもしれないけれど。

まあ、でも、それはあとは死ぬだけという最終段階のことなんで。

生まれてくることを選べないように、いつ死ぬかも選べないから、これも気にしてもしかたない。

だからね、みなさん、癌になってもどうってことないよ。

気にしても仕方ないことは気にしなくなるんよ、人間って。

面白いことはいっぱいあるんで、それを楽しんでる方がいいって。

こういう心境になったのは、去年に読んだシュティリングの『心霊学の理論』の影響です。

ついでに暮れに以下の本を読んだからでもあるなあ。

この2冊面白いし納得できる。

人間は14400回も転生するらしい。

うわあ、難儀だわ。

14400回済ませたら、別の星に行くらしいよ。

死んだら、その瞬間に生まれかわるらしい。

難儀だわあ。

それでは自殺してもしかたないよ。

生きることのしんどさから解放されたくて自殺しても、瞬間に生まれ変わるのならば、死に急ぐことないし、生き急ぐことない。

ついでにさ、どうも人間の魂って分魂機能があるらしい。

たとえば、あなたが幼い子どもを残して病死するとする。あなたは病死して、すぐに地球上のどこかに生まれかわる。

でも、あなたの魂の一部は、残した子どものそばにいて、子どもを見守り続ける。

つまり、あなたの魂は同時に空間を超えて生き続けるわけ。

で、たとえば、あなたの魂は、フランス革命期のフランスに生きた人物の魂の一部だとすると、あなたの魂は同時に時間を超えて生き続けているわけ。

たとえば、あなたの発想と非常によく似た他人の中には、あなたの魂の一部と同じものが、生きているのかもしれない。

でもって、あなたが現在生きているということは、あなたを生物学的に産んだ多くの先祖がいるということ。

その先祖たちは1億人ぐらいいるかもね。

その先祖たちの魂のほんの一欠片が、あなたの背骨に集結している。

だから、背筋を伸ばそう。

あなたは、ひとりぼっちじゃない。

あなたの魂はいろんな人の分魂でできている。

あなたの身体は、あなたの先祖たちとともに生きている。

というようなことを、秋山眞人氏は書いていました。

前から、私は勝手に思ってきている。

アイン・ランドの魂の一部は私の中にあるって。

なのに、アイン・ランドの『水源』の校正もせずに、私は遊んでおりますが。

ここから先は2月になってから読んだ本の中で面白かったものの紹介です。といっても、Facebookに投稿したものの使い回しですが。

1月に読んだ本も紹介したいけど、ほぼほぼリバータリアニズム関係の本だったし、退院後に読んだのは主としてミステリー小説で、それらはミステリーとして面白くはあっても、人間性の掘り下げ方が、ちょっと浅かったので省きます。

①2/1/2026読了。葉真中顕『家族』


Facebook友だちの切り絵作家「絲龍丸」さんご推薦の葉真中顕(はまなか・あき)作『家族』は、ゾワゾワする恐怖感が面白いミステリーです。

例の尼崎事件を題材にして、舞台は八王子に移している。

八王子在住の方々が気を悪くするんじゃないかなあ。

私は尼崎も八王子も知りませんが、行きたくないと思ってしまった。

(転載はじめ Wikipediaより)

尼崎事件(あまがさきじけん)

尼崎事件(尼崎連続変死事件)は、2012年に兵庫県尼崎市で発覚した連続殺人・死体遺棄事件で、1987年頃から始まり、主に主犯とされる女性X(角田美代子)らが、疑似家族を形成し、暴行・監禁により少なくとも8人を死亡させたものです。事件は、Xが他人の家族に寄生し、虐待・搾取を繰り返した特異な手口で、多くの死者・行方不明者を出した犯罪史に残る凶悪事件として知られています。

事件概要
発覚:2012年10月、尼崎市で発覚。
手口:主犯の角田美代子らが、複数の家族に寄生し、「疑似家族」を作り、暴行・監禁・虐待を繰り返して殺害。

被害者:少なくとも8人が死亡、3人が行方不明。

主犯:角田美代子(逮捕後に留置場で自殺)。

逮捕者:Xを含む11人が逮捕され、X以外の10人が有罪判決(最大無期懲役)。

事件の特徴
疑似家族:親族らと他人の家族を混ぜ合わせ、精神的に支配し、互いに殺し合わせるなど、常軌を逸した犯行。

社会への衝撃:「なぜ逃げられなかったのか」「なぜ身内同士で殺し合ったのか」など、被害者の心理や事件の背景に大きな関心が集まった。

報道:「尼崎連続変死事件」「尼崎殺人死体遺棄事件」などと報道され、多くのノンフィクションや小説の題材にもなった

(転載おわり)

なああんか、こういう事件って意味不明で怖いですね。

こういう事件に合わないように、自分のコスモを上げておくことですね。

変な奴と縁を持ってしまうのは、その変な奴と引き合う何かがあなたにあるということです。

類友です。類は友を呼ぶのです。

② 2/4/2026読了。副島隆彦『金を握りしめた者が勝つ』


面白い!ただ単に金や銀を買えって本ではなく、今の世界のゴールドやシルバーや鉱物資源をめぐる国際関係の緊張の構図が面白い!

そうかあ!古物売買の資格は国家資格でもなんでもなくて、警察に申請すれば簡単に取れるのか!

で、庶民から金のアクセサリーとか買い取った古物売買業者はそれを「金を溶かして金塊にする業者」に売る。

その金塊を三井物産が買う。その金塊は、三井物産がロシアから天然ガスを買う料金に充てられる。

現物のゴールド決済でないと、ロシアは売ってくれない。今さらドルや円やユーロなんか要らんのよ。

日本の商社がロシアからエネルギー買うのはアメリカが嫌がる。

けれど、日本政府は三井物産については目をつぶる。だって、いずれはアメリカは西半球の孤独な大国となるのだから、その時に備えて日本はロシアとも中国とも上手くやっていかなくてはならない。三井物産は国策商社だもんね。三井系列はみな國體企業だけど。

先物取引つーのは、日本の堂島が世界最初に考えたことだ。それを今や世界中の先物市場が真似をしている。堂島のシステムが世界の金融市場を動かしている。

面白いよね!

白土三平の『カムイ伝』に登場する政商の夢屋七兵衛は、鼻が高くてユダヤ人みたいだった。

堂島で先物取引を考えて実践した商人は、日本に上陸した古代ユダヤ人の末裔だったかもね。北陸から滋賀や岐阜にかけて、よく見る顔立ちですよ。彫りが深くてね。近江商人ってのも、古代ユダヤ人の末裔だったかも。

まあ、いろんな情報いっぱいですから、読んでみてください。

③ 2/10/2026 読了。櫛木理宇『悲鳴』


これもまたFacebook友だちの切り絵作家の絲龍丸さんご推薦のホラー作家の櫛木理宇さんの2025年の作品。

怖いです……

何が怖いかというと、この小説の舞台のとある地方の馬伏(まぶせ)町のありようです。

この町の住民には、近代の夜明けは来ていません。個人の尊厳なんて言葉の意味はわかりません。世界は、この町だけであり、住民の視野も思考も、町の常識を越えることはありません。メディアが何を報道しようが、インターネットができようが。

この町で生まれ育った男は、この町以外で生きる気はないです。いかに無能でも、その町ならば、男は威張っていられますから。女に甘やかされて生きていけますから。

この町で生まれた育った女は、「男なんて馬鹿だからハイハイ言うこと聞いて煽ててお守りしておけばいいんだ。それが賢い女だ」というくだらない処世訓を娘に教えます。

そうして娘を息子と差別化して育てます。 娘が頭が悪ければ母のように自分も生きていきます。

しかし、たまたま聡明な娘だと人生がホラーになります。兄や弟に暴力を振るわれても母親は娘の味方はしません。自由に生きてこなかった母親は、娘を自由にしません。娘が本を読むのさえ邪魔します。

このような町で美人として生まれるとかわいそうです。地元の馬鹿男に目をつけられ10代のうちに人生を潰されます。

この小説は、今でも日本の何処かにある旧弊な田舎町で生きることの恐ろしさを描いているだけではありません。

読んでいるうちに、この現代日本もいまだにまだ「馬伏町」なんじゃないの?と思わされるからです。

この小説のホラーは、普通の庶民の生活と人生に対する作家による直視と観察から生まれています。

アメリカ南部の田舎町の人々の偏狭さを描き続けたウイリアム・フォークナーが、女性として日本に生まれ変わったような趣があります。

④ 2/13/2026 読了。櫛木理宇依存症シリーズ四部作です。『殺人依存症』『残酷依存症』『監禁依存症』『拷問依存症』

この依存症シリーズ4冊は、綺麗事を廃した徹底的なフェミニズム小説です。

男性が読むことはお勧めしません。なぜならば、かなりの男性は女性に愛されていません。このシリーズを読みと、男性はその真実と事実を突きつけられます。愚かなあなたの母親が息子のあなた(だけ)を可愛がったのは、あなたを愛したからではなく、クズ男性中心社会のサバイバルに便利な道具だったからにすぎません。

このシリーズは、ある女性の一種の成長物語です。祖父、伯父、父に性的虐待を受け母を自殺へと追いやられた悲惨な少女期を過ごした天才的知能の女性が馬鹿で凡庸なふりして、自分の悲惨な人生への復讐のために、周囲の脳足りん男を道具にして性犯罪を繰り返します。

しかし、彼女はじょじょに、自分にとっての本当の敵を自覚するようになります。彼女は、彼らや時に彼女たちに凄惨な罰を与えるのです。

彼女の周囲には、この世界の性差別を自覚した女たちが密かに結集していきます。

怖いホラーミステリーです。でも痛快です。

日本の女性作家もここまで来たか!と私は感動しています。

読む順番は、殺人→残酷→監禁→拷問ですよ。順番を間違えると、わけわからなくなります。

日本女性のみならず女性は、櫛木理宇さんの小説によって、誤魔化し続けてきた自分自身に出逢うでしょう。

これはドラマ化映画化は無理かもね〜〜Netflixあたりならできるかも。

性犯罪者男は遺伝子のミスですから、ああいうふうに監禁して拷問して殺処分したいものでありますね。ほほほほ。

⑤ 2/14/2026読了。櫛木理宇『鵜頭川村事件』


また読んでしまった櫛木理宇さんのホラーミステリー。

これはなんかWow Wow あたりでドラマ化されたらしいけど、視聴する気はなし。原作とは違ってるし。前はNetflixで視聴できたけど、内容がひどい。原作者が怒るレベルの駄作だった。

物語は、櫛木さんの小説の舞台に多い北越地方の一地域が、長雨による地崩れのせいで道路が寸断されることで始まる。

物資が入ってこなくなる。水道やガス電気に電信電話も機能しなくなる。食料品不足が起きる。

絶対的孤立に陥った900人ほどの住民が住む鵜頭川村。時代は1980年前後。

その村には戦前からの因縁で、目に見えないふたつの勢力の対立があった。その対立が今回の長雨による陸の孤島状況で、流血騒動を引き起こす。

騒ぎの首謀者は、優秀なのに、兄の死のために家を継がなくてはいけなくなって進学できず村に止まった青年。

彼のような頭脳の持ち主には、旧弊な村の生活も、近代以前の村人たちの人間関係も地獄だった。

彼は村の若者たちを組織扇動して、村を牛耳る一族の粛清を試みる。

うーん、よくできてる作品です。作家の才能がよくわかる作品です。

でもなあ、明治や大正じゃないんだからさあ、頭脳明晰なら家なんか捨てて村を出ればいい。男なんだし。なんでいつまでも、しょうもない村にいるんだ。

櫛木さんは女性の描き方や、クズ男の描写はうまい。

でも、才能あるのに村に燻って生きねばならない若者たちの描写はリアリティがない。そいつら、あまりに他愛が無さすぎる。

結局、首謀者の青年は何がしたかったのか?わからん。

⑥ 2/15/2026読了。櫛木理宇『少年籠城』


櫛木理宇さんは、実に筆力のある作家さんです。

2023年発表の『少年籠城』は秀作です。よくできています。しかしドラマ化は難しいでしょう。

なぜならば、幼児性愛者の性虐待をテーマにしているから。

警察の生活保全課の管理職の家族が幼児性愛者で、その家族の犯罪を隠蔽するために、市民の訴えを握りつぶしてきた末に起きた犯罪と冤罪を描いているから。

何よりも、親や親の愛人や近隣の変態に虐待され殺害される子どもたちの声なき声がテーマだから。

つまり日本人が見て見ぬふりをしてきた子どもの貧困と虐待がテーマだから。

しかし、なんで日本の法律は性犯罪者や子ども虐待に対して甘いのか?子どもへの性虐待など極刑で望むべきだと思いますが。

ひょっとして立法、司法、行政の上位にいる人々が変態だからか?日本にもエプスタインみたいなのがいるのか?実際に存在する子どもへの虐待を直視できないのはなぜ?

⑦ 2/17/2026 読了。櫛木理宇『虎を追う』


櫛木理宇さんのホラーミステリー小説は、情報いっぱい、謎解きいっぱい、それプラス人間性の闇を暴くことに躊躇しません。

だから、残酷な場面も容赦なく描きます。

1980年代後期に北関東で起きた小学生女児連続猥褻性虐待事件。犯人ふたりは死刑判決をくだされ、ひとりは獄中で病死した。

もうひとりは、30年後も免罪を主張して何度も何度も再審請求をする。

元刑事であった主人公は現役の頃に、この事件に疑問を抱いた。冤罪ではないかと思ったからだ。退職した今は、その疑問を晴らさないと死ぬに死ねない気持ちになっている。たとえ、それが元同僚たちの名誉や立場を脅かすことになっても。

彼に協力し、彼の孫の大学生と孫の親友のニートは、ネット能力を駆使して、無料動画配信とSNSを最大限に活用する。彼らは、自分たちが独自に調べている事件について世間に広める。

元刑事は、新聞記者やテレビ局にいる旧友たちの力も借りる。ネットとメディアの拡散により、事件は再び脚光を浴びる。

それは無実のふたりを死刑囚にした検察と警察を敵に回すことでもあり、まだ見ぬ真犯人を刺激することでもある。

しかし、櫛木さんという作家の「男性嫌悪」は面白い。この作家は女性嫌悪でもあるし、家族嫌悪でもあるし、子ども嫌悪でもあるし、要するに人間嫌い。

櫛木さんは、人間というのは、ろくでもないということを暴露し続ける。まあ、こういう姿勢でなければ、世間に棲息するクズを暴き出すことはできないよね。

世の親御さんや先生たちは、女の子には「知らない人に対してはもちろん知っている人に対しても用心すること」を教えてください。「人には親切にね」なんて、いい子ぶりっ子しないように。悪魔がいっぱいいるんだよ!

という調子で、今の私は櫛木理宇さん依存症なのでありますよ。

ホラーミステリー作家の櫛木理宇さんには、是非とも、フィクションの形で、例の「綾瀬女子高校生監禁コンクリート詰め殺人事件」を描いてほしいなあ。

この事件に関するルポルタージュは、今までも出版されてきたんですが、フィクションはないです。

こんなふうに作家に対して思うなんて、櫛木さんが初めてだ。

櫛木さんの小説は、人間性の暗黒面を描いていますが、基本的には勧善懲悪です。

たとえば、小児性愛者や強姦魔や痴漢などの性犯罪の被害者遺族を脅迫して示談に持ち込み加害者の富裕層から大金を稼ぎ出してきた悪徳男性弁護士は、あるグループに誘拐され監禁されて、性器を切断され無理やり性転換され、造形したばかりの膣にさんざん強姦され、肛門を破壊されます。ネタバレなので、作品名は伏せます。

こういう展開に読者(というか私)は溜飲が下がるのです。正義が為されるので。

綾瀬女子高校生監禁コンクリート詰め殺人事件の加害者たちについては、彼らの人生がいかに復讐され破壊されていくかを、しっかり描いてもらいたい。

現実には、そのうち1人は、トイレの便器とタンクに頭が挟まって死亡しましたが、これなんて事実は小説より奇なりですねえ。

そのような加害者たちが、どのようにクズとして養育されたのかのも描いてほしい。

彼らの犯罪がいかに親や親族の人生を破壊し尽くして行くか、しっかり描いてほしい。

確か犯人たちのひとりの母親は女子高校生の墓を破壊したんですよね。お前がクズを産んだんだろ。自分自身に復讐せい。なに八つ当たりしとんじゃ。

彼らの凄惨な最後は、きっと予言となるでしょう。

あの事件は、さすがの櫛木理宇さんにとっても書くのは辛いことでしょうが。

さてさて、2月末に入院して退院したら、今度はアイン・ランド以前の初期のリバータリアンについての資料読みに忙しくなるからなあ。

今のうちに遊んでおかないと。

って、ランドの『水源』の電子ブック用改訳版の校正もあるのに何やってるんだか。

ドタバタしてるうちに、衆議院議員選挙も終わった。通常国会が始まる。組閣も。

2月14日は、中国の王毅外相から日本は帝国時代の近隣国家侵略への野心を忘れていないとミュンヘン安全保障会議で言われた。

買い被りを、ありがとう。

そんな元気が今の日本にあるか!

ねえ?

7件のコメント

  1. 元気そうで?なによりです。私はグルジェフというひとの読者なので、ひとの生前の記憶は大気圏に記録されると思います。そして自分と似たひとに霊として降りるのでしょうか? 私はカトリックなので単純に「上」の霊の導きに従うだけです。

    私は反リバタリアンなので、こういう記事を書いたりしています。ネオコン、リバタリアンはユダヤの保守思想なので、同じでしょう?

    リバタリアニズムはユダヤ思想である

    https://note.com/naggab/n/nf9805b29f9f6

    いいね

    1. 有さま

      コメントありがとうございます。

      リバタリアニズムはユダヤ思想かどうかは、私にはわかりません。

      ユダヤ思想というものが、どういうものかもわかりません。

      ユダヤ人と呼ばれる人々の定義もわかりません。

      しかし、リバタリアニズムがユダヤ系の人々が持ちやすい思想だとは思います。

      私は、綺麗事を廃したリバタリアニズムのものの見方が好きです。

      いいね

  2. こんにちは

    馬鹿ブス貧乏の最初の本の

    ひとりでも寂しくない人間でいる方法

    本当にすごいです

    私の生きる指針のひとつにしました

    ありがとうございます

    いいね: 1人

  3. えいこの様

    コメントありがとうございます。拙著をお読みくださり、ありがとうございます。

    あの部分に注目してくださり、嬉しいです。

    私たち、あらかじめ猛烈に恵まれています。ひとりで寂しいと思うというのは、自分がいかに前提として豊かに暮らしているかわかっていないのです。先人の愛で創意工夫いっぱいの世界で生きています。

    怖がることなく、いくらでも恵まれていいのです。変に自分を限定する必要などないのです。

    でも、そういうことわからない人も多いので黙って勝手に自由に幸せでいましょう〜

    いいね

コメントを残す